提示
[X]
2026 Feb. Sun
二月
1
星期日
診所動態
法律顧問~鍾永盛大律師
...
德軒津牙醫診所醫師看診時間表
...
讓使用者如何善用診所資訊,尋找關鍵字
...
德軒津 牙醫診所 ~提供停車位
...
回首頁
診所簡介
聯絡我們
最新消息
相關連結
訊息快遞
新冠狀病毒之感染控制~德軒津牙醫診所
...
伙伴 生日快樂
...
點滴分享
別讓錯誤愛情觀阻礙真愛 僅供參考
...
大怒傷肝 遠離“怒”魔鬼 僅供參考
...
8種心理“偷”走你的快樂 僅供參考
...
處置案例分享區
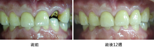
Root Amputation 切除牙根手術 ~ 龍霖 醫師 2012-02-01
...
牙周病之假牙製作 2011-10-28 龍 霖 醫師
...
簡單美觀的貼片
...
人工植牙
植牙致勝7部曲 牙齒永保安康 僅供參考
...
老年人是否可以種植牙齒 僅供參考
...
種植牙日常維護 僅供參考
...
資訊分享
孕婦緣何容易惹“痔”上身?僅供參考
...
牙周病引發多種疾病 僅供參考
...
牙周疾病一般有哪些特徵 僅供參考
...
三種情緒最容易出軌 僅供參考
...
讓男人冒冷汗的幾句話 僅供參考
...
關於德軒津
院長的話
背景及歷史
環境介紹
團隊介紹
電郵
位置地圖
相關連結
免責聲明
處置案例分享區
20100621兼顧美觀的立即植牙~龍霖醫師
2010-06-21
關鍵字:
GO TOP
服務項目
側邊分享
如何喝普洱不會失眠 僅供參考
...
4個時期女性需“戒茶” 僅供參考
...
毛孩子 ㄉ 分享
早安!冷冷喔 2017-03-06
...
yeti 當 model / 義務雜工 。。 …… 攝影棚 2017-02-08
...
有了你們,我的笑容可以從清晨一直洋溢到深夜。2016-11-02
...
牙周治療
揉按拍擊治牙周炎 僅供參考
...
患牙周病刷牙出血 僅供參考
...
治療牙周炎的藥用方 僅供參考
...
除汞
汞中毒要做哪些檢查 僅供參考
...
汞中毒急救處理 僅供參考
...
重金屬超標的8大罪魁禍首 僅供參考
...
矯正新知
什麼是牙齒矯正? 僅供參考
...
成人牙齒正畸任何年齡段做都可以 僅供參考
...
牙齒矯正價格、方法簡介 僅供參考
...
護牙新知
根尖膿腫 僅供參考
...
別小看牙周疾病 僅供參考
...
牙縫寬或是侵襲性牙周炎 僅供參考
...
13個自我治療牙痛的飲食療法 僅供參考
...
等離子美白有效治療四環素牙 僅供參考
...
瀏灠人次:
德軒津牙醫診所
All Rights Reserved.
電話:0287515050 傳真:0287510313 地址:114台北市內湖區瑞光路358巷30弄2號1樓